
New research on toxoplasmosis, speech recovery after strokes. female performance poetry and second language learning will be showcased by Gates Cambridge Scholars at the first internal sympsium of the year on Tuesday.
New research on toxoplasmosis, speech recovery after strokes, Macedonian views on The Merchant of Venice and second language learning will be showcased by Gates Cambridge Scholars at the first internal sympsium of the year on Tuesday.
Speakers at the symposium are:
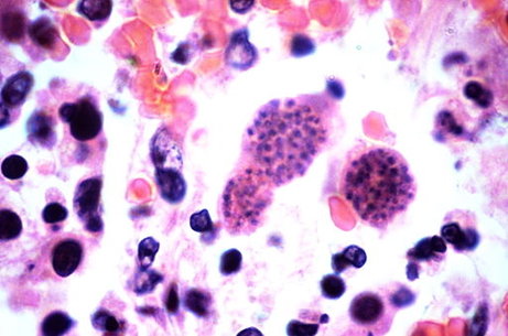
– Bo Shuin Lai [2013], who is doing a PhD in Pathology, will talk about Toxoplasma gondii, a parasite that infests more than two billion people worldwide and which when a pregnant woman acquires it for the first time during gestation, can be transmitted to her foetus congenitally, causing severe ophthalmologic and neurological defects. Although it is largely harmless in healthy adults, it can cause opportunistic infections and have fatal consequences for immunocompromised individuals. Existing treatments do not eliminate dormant parasites that recrudesce. Bo Shiun will talk about his research into finding improved treatments.
– Brielle Stark [2012], who is doing a PhD in Clinical Neuroscience, will discuss her PhD on the loss of speech after stroke, often long term, which occurs in one-third of stroke victims. She says: “I work with ageing individuals who have chronic aphasia, pioneering brain imaging research on iPad-delivered speech therapy, a potentially effective and affordable means of combating the lacking resources offered for chronic speech therapy.” She will talk about her early results, which she says show “a spectacular change” in participants’ speech on several tasks. She says: “This is the first research of its kind to enter the speech therapy, experimental psychology and neuroscience realm. Understanding how the brain changes during language recovery in these individuals with chronic aphasia will aid the development of even better accessible and affordable speech therapy programs in the future.”
– Afrodita Nikolova’s talk is titled Exploring University Students’ Responses to the Literary Text “The Merchant of Venice” in the Macedonian Context.In light of the ethnic tensions in Macedonia and cautiously driven by the potential of literature for triggering empathy she will explores university students’ responses to The Merchant of Venice. Afrodita [2014] is doing a PhD in Education.
– David Abugaber-Bowman’s presentation focuses on language learning research. It will highlight the different experimental methods used in second-language psycholinguistics, and the sort of observations and questions that they inspire, including studies of the bilingual brain and experiments showing how infants beat adults at perceiving speech sounds in a foreign language. David’s particular interest is in Spanish-Italian bilingualism. He asks: “To what extent does Italian piggyback on Spanish language processing in the non-native speaker? Homer Simpson once said they’re really the same language–is this true in the speaker’s brain?” David [2014] is doing an MPhil in Theoretical and Applied Linguistics.
The symposium takes place on Tuesday 21 Oct from 19:00-21:00 in the Gates Scholars Common Room.
*Picture credit of Toxoplasma gondii: Wiki Commons.